Wisdom Teeth Removal Vancouver, BC
Safe, Stress-Free Extractions for Lasting Relief
- Advanced Imaging for Precise Wisdom Tooth Extraction
- Holistic, Whole-Body Approach
- Sedation Options That Keep You Relaxed
- 40+ Years of Trusted Care for Vancouver Families



Why Call Us for Wisdom Tooth Extraction?
Is It Time to Remove Your Wisdom Teeth? Book Today
If you fall into the average age range for wisdom teeth eruption but aren't experiencing pain, swelling, or other symptoms, it's still a good idea to meet with our dental team to see if all is well.
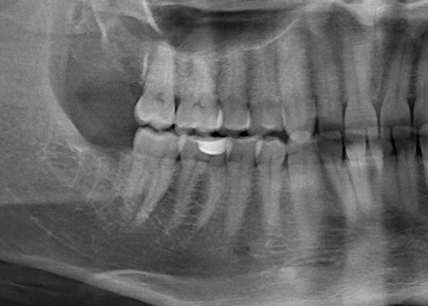
Don't wait until the pain from impacted wisdom teeth sends you to our Vancouver dentist's office. Come in for regular appointments ahead of time to get X-rays and a close-up view of how your wisdom teeth are growing. That way, we can help prevent pain and problems before they start.
Reach out to us online or call today:


Paying for Your Dental Care
Our team at Enlighten Dental in Vancouver wants general dentistry procedures to be accessible to everyone, so we go above and beyond to make care affordable. We accept most insurances, which will typically contribute to or cover the cost of wisdom teeth removal. We will help you maximize your benefits by filing a claim for you. If you're uninsured or have out-of-pocket costs, we offer flexible financing plans so the care you need is still within reach.
What Are Wisdom Teeth?
Your wisdom teeth are the backmost teeth on each dental arch. These molars emerge last, typically right before or around adulthood. While some wisdom teeth erupt without a problem, their emergence can sometimes cause infection and tooth misalignment when a dental arch doesn't have enough space to accommodate them.


What Are the Benefits of Wisdom Teeth Removal?
Choosing to have your wisdom teeth removed has many benefits and can save you a lot of pain, time, and money in the future.

Tech Elevates Our Treatment
CT scans give our dentists a closer look at the visible parts of your teeth as well as the tooth roots, blood vessels, soft tissues, and other parts of the mouth that the eye can't see. These scans give us a more detailed view of the position of your wisdom teeth when they haven't yet erupted. We can also take digital impressions of your teeth using our intraoral scanner. We aim to give you an accurate view of your smile and improve your overall wellness by using this technology and other advanced tools at our Vancouver dental office.
Why Remove My Wisdom Teeth if They Are Not Causing Problems?
Think of removing wisdom teeth as a form of maintenance. While you may not currently be experiencing any pain, swelling, or general discomfort, having your wisdom teeth extracted now can save you from future discomfort and infections.
It's also advantageous to have them removed when you are a young adult, since the extraction and healing process will be easier.
When you decide to have your wisdom teeth removed at our Vancouver practice, you can schedule care on your own timeline. Having a scheduled appointment is typically a lot less stressful than needing immediate care. You won't have to suffer before your appointment—you can simply come in, get the care you need, and after a short healing period, never worry about your wisdom teeth again. Get started today by reaching out to our office:

Does Everyone Need Wisdom Tooth Removal?
Some people are missing one or more wisdom teeth. Others do not have any wisdom teeth at all. Some people have enough room in their jaws to accommodate wisdom teeth.
This is why visiting your dentist regularly is so important. They can use X-rays to watch as your teeth emerge and determine if they'll be a problem in the future or if they can stay.
Wondering if you need your wisdom teeth removed? You don't have to find an oral and maxillofacial surgeon. Instead, visit the dentists at our Vancouver office to see if you can benefit from extraction.
How Emerging Wisdom Teeth Change Your Mouth


The Wisdom Tooth Removal Timeline at Enlighten Dental in Vancouver
Whether patients need immediate wisdom teeth removal or they are planning for the future, they trust our Vancouver dentists to get the job done.
Stop Worrying About Your Wisdom Teeth and Visit Enlighten Dental
Each type of tooth has its own specific function, except for wisdom teeth. When they erupt incorrectly, these teeth can actually harm your oral health by becoming partially stuck in the gums and causing an infection.
However, there's a way that you can prevent them from causing any problems: a wisdom tooth extraction at Enlighten Dental.
If you've noticed a wisdom tooth or teeth have already begun to emerge, let us intervene. Our dentists can perform the same treatment as oral surgeons, allowing you to have a healthy and pain-free smile once again. If you're ready to explore your candidacy for wisdom tooth removal, contact our Vancouver, BC, office or call:



5 Ways to Optimize Recovery
After your wisdom teeth extraction, there are several things that you can do to improve the healing process, like:
Understanding Blood Clots: Your Body's Incredible Recovery Resource
Your mouth has its own unique tool that it uses to help you heal after wisdom teeth removal: a blood clot. Blood clots will form over your gums where each molar has been extracted. Because they shield your nerves, they reduce pain. They also improve your healing time, blocking bacteria from gaining access to the area.
Our dentists will give you detailed tips on how to keep these clots in place, such as refraining from using straws or cleaning the treatment area too vigorously. If the clot does prematurely dislodge, please let us know so we can treat your dry socket.
"If your smile is causing you pain or discomfort, it can affect all other areas of your life. Our Vancouver dentists want to help you restore your oral health, maintain your overall health, and boost your self-confidence."
